[心得] 帶男友去做牙貼
真的後悔沒早點逼男友去做牙貼, 真的覺得醫生很神,
https://i.mopix.cc/eDwG5Q.jpg

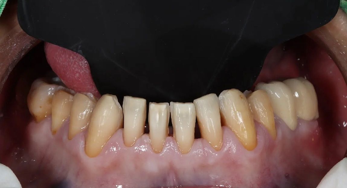
男友齒縫很大,
本來以為沒救了,
結果醫生說能處理,
馬上就領了錢錢當天直接做下去,
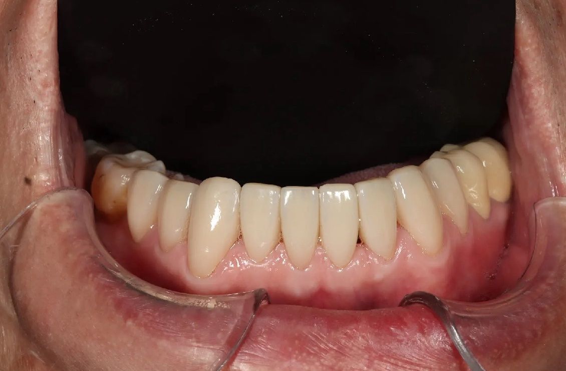
真的做的蠻成功的耶,
連牙齒顏色都蠻自然的,
感謝醫生,
救了我男友一口爛牙....
https://i.mopix.cc/tcpYDz.jpg

--
※ 發信站: 批踢踢實業坊(ptt.cc), 來自: 1.174.81.204 (臺灣)
※ 文章網址: https://www.ptt.cc/bbs/teeth_salon/M.1770287921.A.181.html
※ 編輯: fei233 (1.174.81.204 臺灣), 02/05/2026 18:40:06
推
02/05 22:40,
3月前
, 1F
02/05 22:40, 1F
推
02/06 11:04,
3月前
, 2F
02/06 11:04, 2F
推
02/06 15:25,
3月前
, 3F
02/06 15:25, 3F
推
02/06 16:30,
3月前
, 4F
02/06 16:30, 4F
推
02/06 17:45,
3月前
, 5F
02/06 17:45, 5F
推
02/09 20:05,
3月前
, 6F
02/09 20:05, 6F
推
02/12 17:15,
3月前
, 7F
02/12 17:15, 7F
推
02/26 09:45,
2月前
, 8F
02/26 09:45, 8F
推
02/28 13:19,
2月前
, 9F
02/28 13:19, 9F
噓
03/03 06:39,
2月前
, 10F
03/03 06:39, 10F
→
03/03 06:39,
2月前
, 11F
03/03 06:39, 11F
推
05/04 01:49,
1周前
, 12F
05/04 01:49, 12F
teeth_salon 近期熱門文章
PTT消費區 即時熱門文章